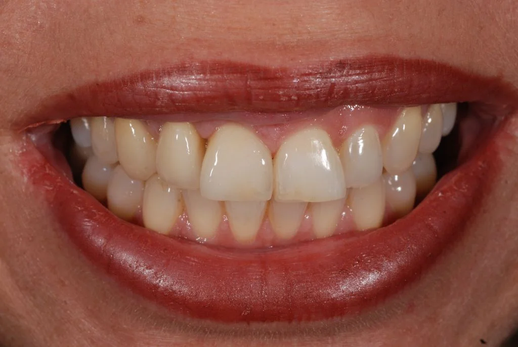
vorher
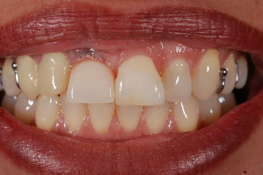
danach
Zahntick Meisterwere - Patientenfall 2
Der hier gezeigte Fall, zeigt drei, zum Teil bis zum Zahnfleisch abgesplitterte Frontzähne.

Der Frontzahn (11) mußte gezogen werden und wurde durch ein Implantat ersetzt. Die beiden anderen Zahnreste wurden kieferorthopädisch aus dem Zahnfach bewegt und mit Komposite (Kunststoff) wieder aufgebaut.

Nach der Einheilzeit des Implantats, wurde ein weißer Zahnaufbau für das Titanimplantat hergestellt, um ein Verdunkeln durch das Implantat zu verhindern. Abschließend wurden drei Zirkonkronen hergestellt.

Solch ein Ergebnis ist nur durch eine optimale Vernetzung aller Beteiligten möglich. (Zahnarztpraxis Glißmeyer, Kieferorthopädin Dr.RömhildOralchirugen Dr.Vettin+Dr.Meissner und Zahntick)

Behandlungszeit ca. 1,5 Jahre