Zahntick Meisterwere - Patientenfall 4
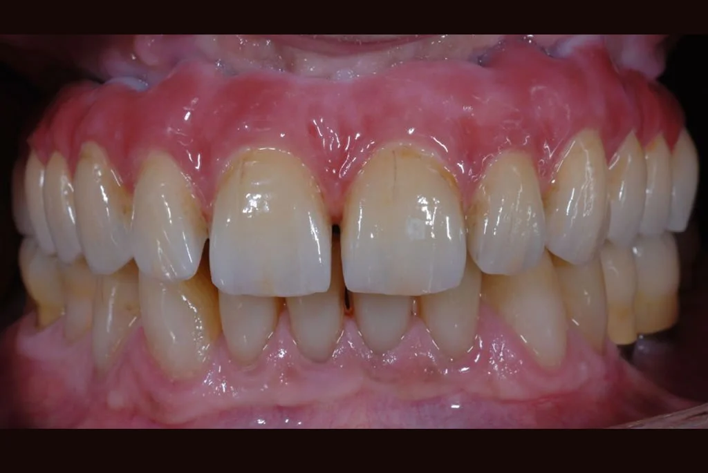
Vorrangiger Patientenwunsch war es eine festverschraubte Keramikbrücke mit altersbedingter Optik in Form und Farbe zu bekommen.

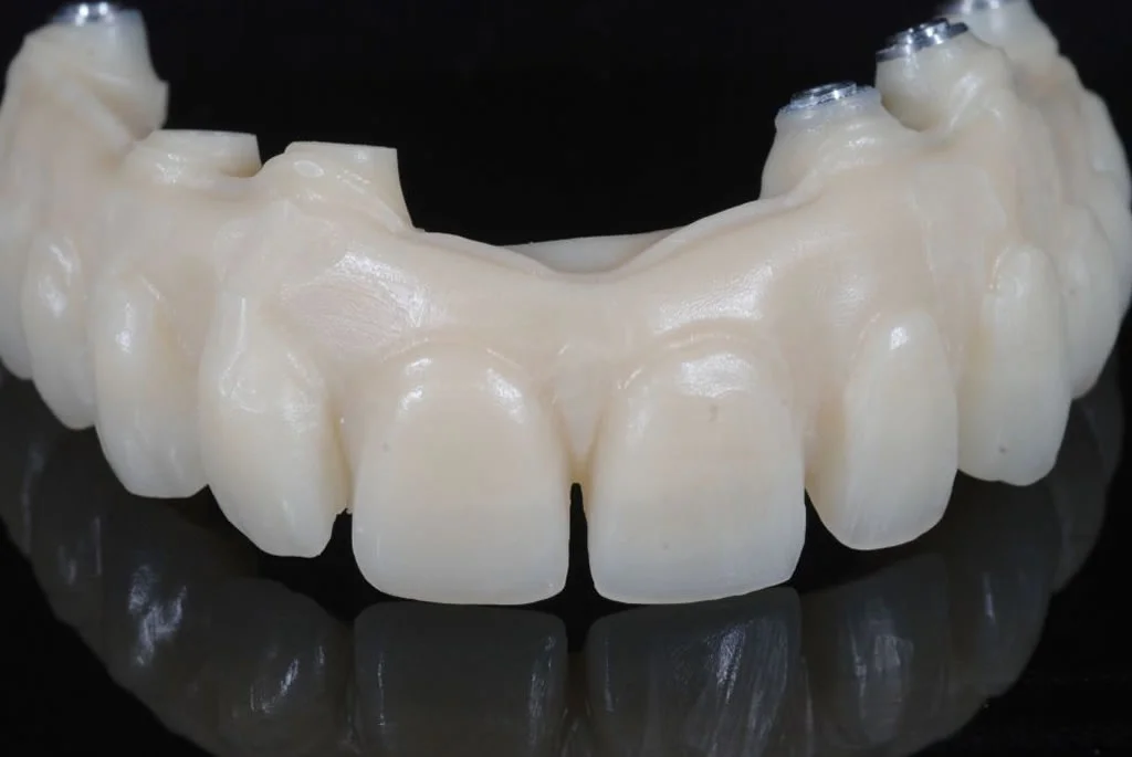
Die sechs Implantate wurden im Vorfeld mit einem Langzeitprovisorium aus Hochleistungskunststoff versorgt. In dieser Testphase konnte der Patient voll und ganz die Vorteile dieser Versorgungsform ausprobieren in Sprache, Optik und Reinigung.

Aus der gewonnenen Provisorium- Endform, wurde nun mit modernster CAD/CAM Technik ein Zirkongerüst gefräßt, danach hochtemperiert gesintert und anschließend keramisch verblendet.

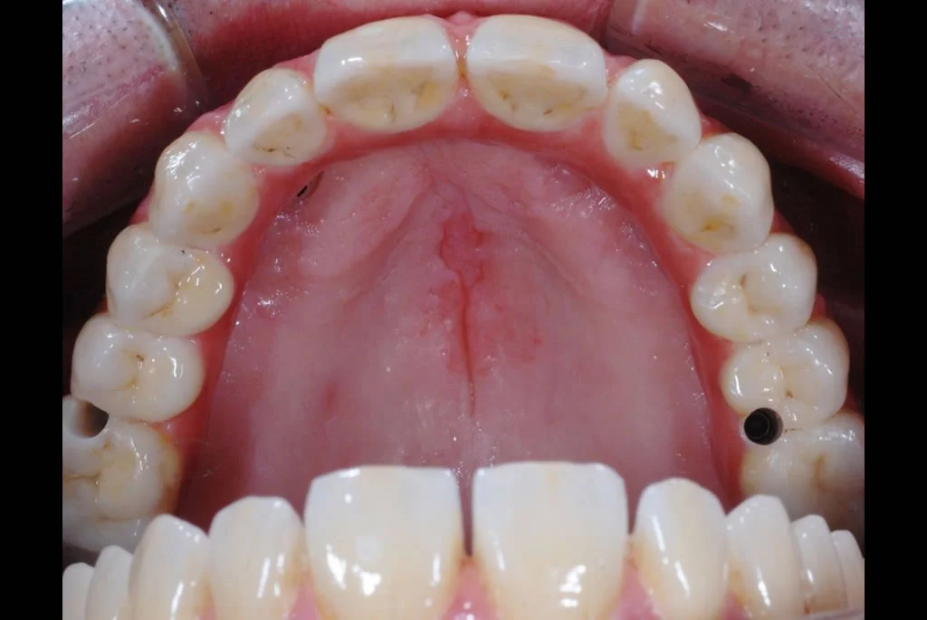
Technisch ist diese Arbeit vertikal als auch horizontal im Munde des Patienten verschraubt, dies fühlt sich für den Patienten wie die eigenen Zähne an. Bei der Prophylaxereinigung ist die Versorgung durch die Zahnarztpraxis abschraubbar.